জান্নাত আরা ঊর্মি, পুষ্টিবিদ আমাদের শরীরের সুস্থতার জন্য যেমন পুষ্টিকর খাবার প্রয়োজন তেমনি আমাদের মুখের স্বাস্থ্য যেমন দাঁত, মাড়ি, জিহ্বার...
Read moreডা. পূজা সাহা কখনো খেয়াল করেছেন, দাঁত ব্রাশ করার পরও দাঁতের ফাঁকে ফাঁকে খাবার আটকে থাকে। অনেক সময় দুই দাঁতের...
Read moreডা. মো. শামীম আল মামুন, দন্ত চিকিৎসক এটা তো দুধদাঁত! এটা পড়লে তো আবার উঠবে! ফেলে দেন।’ ডেন্টাল ক্লিনিকে এ...
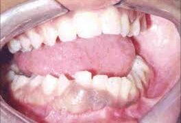
Read moreহার্টবিটডেস্ক দাঁতের সমস্যায় কমবেশি সবাই ভোগেন। দাঁতের মাড়ির সমস্যার পাশাপাশি আরও একটি সমস্যা হলো ক্যাভিটি। শিশু এমনকি বয়স্কদের দাঁতেও দেখা...
Read moreহার্টবিট ডেস্ক আক্কেল দাঁত ওঠার অভিজ্ঞতা সবারই জানা। প্রচণ্ড ব্যথা সহ্য করতে হয় এই দাঁত উঠলে। কয়েকদিন পর্যন্ত ব্যথা...
Read moreসুন্দর হাসি কে না চায়? কিন্তু দাঁত যদি হয় ফাঁকা, তাহলে তো আর সুন্দর হাসি হবে না। মাঝে মধ্যে দেখা...
Read moreডা. মোঃ ফারুক হোসেন সুন্দর হাসির পূর্ব শর্ত হলো সুন্দর দাঁত। তাই আমরা সবাই চাই ঝকঝকে মুক্তার মতো দাঁত। কিন্তু...
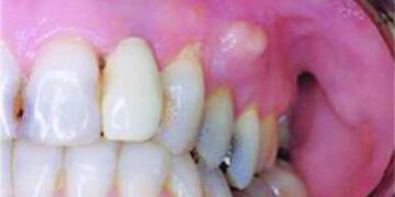
Read moreমো. আসাফুজ্জোহা দাঁত ব্রাশ করার সময় বা কুলি করার সময় অনেকেরই মাড়ি থেকে রক্ত পড়ে। এমন সমস্যাকে আমরা খুব বেশি...
Read moreডা. মুজাহিদুল ইসলাম যখন শরীরের কোনো অংশ ফুলে যায়, সাধারণত সেখানে পুঁজ জমা হয়। এটি অ্যাবসেস বা ফোড়া। ত্বকে যখন...
Read moreগর্ভাবস্থায়বিশেষ যত্ন সম্পর্কে আজকাল সবাই বেশ সচেতন হয়ে উঠছেন। গর্ভধারণের আগে ডাক্তারের পরামর্শ প্রয়োজন।প্রতিষেধক ও সাপ্লিমেন্ট নেওয়া তো বটেই; গর্ভে...
Read moreMBBS,PhD
MBBS, MPhil, PhD, FWPA, FWHO, CME-WCPD
MBBS, MCPS, MD
MBBS, MD
© 2020 Heart Beat Bangladesh - All copy right reserved with INTEL Media and Communication.
© 2020 Heart Beat Bangladesh - All copy right reserved with INTEL Media and Communication.